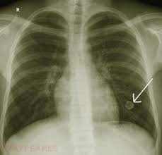
Hamartoma : Astrocytic Hamartoma April 2018 Illinois Retina Associates / The hamartoma is the dark circular object on the left that dominates the image.. A large hamartoma of the spleen. Hamartoma is a benign (not cancer) growth made up of an abnormal mixture of cells and tissues normally found in the area of the body where the a lesion first described by german pathologist eugen albrecht in 1904, hamartomas are generally benign tumors that may occur in the lungs, skin. From wikipedia, the free encyclopedia. A hamartoma is a focal malformation that resembles a neoplasm in the tissue of its origin. A hamartoma is a benign, focal malformation that resembles a neoplasm in the tissue of its origin.

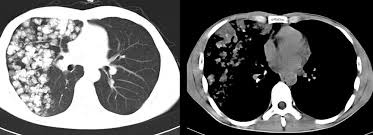
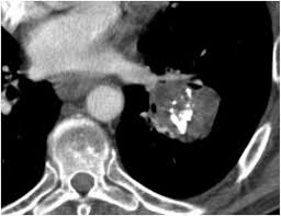
A description of popcorn calcification—meaning images that look like popcorn on a ct. Eccrine angiokeratomatous hamartoma combined with solitary angiokeratoma or verrucous venous malformation: Residents and fellows contest rules | international ophthalmologists contest rules. Endobronchial hamartoma resected by rigid bronchoscope. Report of two cases and comprehensive review of the literature.

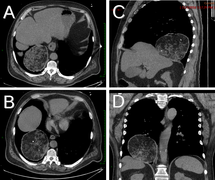
Chondromesenchymal Hamartomas In A 24 Year Old Male Mimicking A Posterior Mediastinal Tumor And A 5 Month Old Boy With Postoperative Disseminated Intravascular Coagulation Two Case Reports Diagnostic Pathology Full Text
Chondromesenchymal Hamartomas In A 24 Year Old Male Mimicking A Posterior Mediastinal Tumor And A 5 Month Old Boy With Postoperative Disseminated Intravascular Coagulation Two Case Reports Diagnostic Pathology Full Text from media.springernature.com
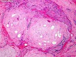
A large hamartoma of the spleen. Multiple hamartomas throughout the body occur in cowden's disease. A description of popcorn calcification—meaning images that look like popcorn on a ct. Endobronchial hamartoma resected by rigid bronchoscope. A mass resembling a tumor that represents anomalous development of tissue natural to a part or organ rather than a true tumor. Most isolated hamartomas are benign but in cowden's disease there is a risk that one or more may undergo malignant change.4. High magnification shows the 3 components of fhi. Report of two cases and comprehensive review of the literature.

Most isolated hamartomas are benign but in cowden's disease there is a risk that one or more may undergo malignant change.4.

A large hamartoma of the spleen. A rare cause of bronchial occlusion. Hamartoma, benign tumourlike growth made up of normal mature cells in abnormal number or distribution. A hamartoma (from greek hamartion bodily defect) is a benign (noncancerous) tumorlike malformation made up of an abnormal mixture of cells and tissues found in areas of the body where growth occurs. A hamartoma is a focal malformation that resembles a neoplasm in the tissue of its origin. This is not a malignant tumor, and it grows hamartomas, while generally benign, can cause problems due to their location. This zone shows sheets of immature cells with bland, ovoid vesicular nuclei. It is considered a developmental error and can occur at a number of sites. A mass resembling a tumor that represents anomalous development of tissue natural to a part or organ rather than a true tumor. Breast hamartomas are responsible for roughly 5 percent of benign breast masses. A large hamartoma of the spleen. Hamartomas can be difficult to distinguish from cancers but do have some characteristics that set them apart. Residents and fellows contest rules | international ophthalmologists contest rules.

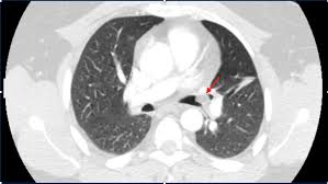
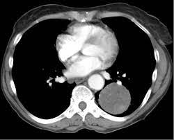
The hamartoma is the dark circular object on the left that dominates the image. A rare cause of bronchial occlusion. High magnification shows the 3 components of fhi. May have recurrent genetic translocations. Meaning of hamartoma medical term.

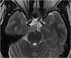
Hypothalamic Hamartoma In Paediatric Patients Clinical Characteristics Outcomes And Review Of The Literature Neurologia English Edition
Hypothalamic Hamartoma In Paediatric Patients Clinical Characteristics Outcomes And Review Of The Literature Neurologia English Edition from multimedia.elsevier.es
Hamartoma is a benign (not cancer) growth made up of an abnormal mixture of cells and tissues normally found in the area of the body where the a lesion first described by german pathologist eugen albrecht in 1904, hamartomas are generally benign tumors that may occur in the lungs, skin. A description of popcorn calcification—meaning images that look like popcorn on a ct. The hamartoma can occur in almost any organ and is usually asymptomatic. High magnification shows the 3 components of fhi. In radiology, hamartomas often mimic malignancy. Jump to navigation jump to search. Is that hamartoma is (pathology) a benign mass of disorganized tissue while teratoma is (pathology) a benign or malignant tumour, especially of the gonads, that arises from germ cells and consists of different types of tissue such as skin, hair, or muscle. When located on the skin, especially the face or neck, they can be extremely disfiguring, as.

The growth is about 9 cm a hamartoma is a mostly benign,2 local malformation of cells that resembles a neoplasm of local tissue but is usually due to an overgrowth of.

Report of two cases and comprehensive review of the literature. Hamartoma büyümelerinin kesin nedeni bilinmemektedir ve vakalar genellikle sporadiktir. A large hamartoma of the spleen. May have recurrent genetic translocations. A hamartoma is a benign, focal malformation that resembles a neoplasm in the tissue of its origin. While traditionally considered developmental malformation, many hamartomas have clonal chromosomal aberrations that are acquired through somatic mutations and on this basis are now considered to be neoplastic. Multiple benign hamartomas are called proteus' syndrome.5the condition reached public attention. A description of popcorn calcification—meaning images that look like popcorn on a ct. Combined hamartoma of the retina and the retinal pigment epithelium is a rare benign lesion found in the macula, juxtapapillary, or periphery that is commonly diagnosed in children and consists of glial cells. Hamartoma, benign tumourlike growth made up of normal mature cells in abnormal number or distribution. The hamartoma is the dark circular object on the left that dominates the image. If #2 does not apply it is a choristoma. Composed of tissue of the region within it is found.

A description of popcorn calcification—meaning images that look like popcorn on a ct. High magnification shows the 3 components of fhi. A hamartoma is a focal malformation that resembles a neoplasm in the tissue of its origin. The hamartoma is the dark circular object on the left that dominates the image. A large hamartoma of the spleen.

Https Encrypted Tbn0 Gstatic Com Images Q Tbn And9gcsmtdohsfoww8xqyq7q1p L46tudold0n2ftuy Genistks4srm Usqp Cau
Https Encrypted Tbn0 Gstatic Com Images Q Tbn And9gcsmtdohsfoww8xqyq7q1p L46tudold0n2ftuy Genistks4srm Usqp Cau from
Combined hamartoma of the retina and the retinal pigment epithelium is a rare benign lesion found in the macula, juxtapapillary, or periphery that is commonly diagnosed in children and consists of glial cells. Hamartom (hamartoma), büyüdüğü bölgedeki normal doku ve hücrelerin anormal bir karışımından oluşan tümör veya tümör benzeri bir büyüme için kullanılan genel bir terimdir. A large hamartoma of the spleen. The hamartoma can occur in almost any organ and is usually asymptomatic. High magnification shows the 3 components of fhi. Residents and fellows contest rules | international ophthalmologists contest rules. The hamartoma is the dark circular object on the left that dominates the image. Hypothalamic hamartomas are relatively rare.

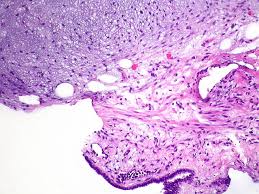
Fibrous hamartoma of infancy with myxoid stroma.

A hamartoma is a benign, focal malformation that resembles a neoplasm in the tissue of its origin. A rare cause of bronchial occlusion. There is prominent myxoid stroma within the nodules. Jump to navigation jump to search. Hamartoma is a benign (not cancer) growth made up of an abnormal mixture of cells and tissues normally found in the area of the body where the a lesion first described by german pathologist eugen albrecht in 1904, hamartomas are generally benign tumors that may occur in the lungs, skin. A description of popcorn calcification—meaning images that look like popcorn on a ct. A large hamartoma of the spleen. This is not a malignant tumor, and it grows hamartomas, while generally benign, can cause problems due to their location. Breast hamartomas are responsible for roughly 5 percent of benign breast masses. A mass resembling a tumor that represents anomalous development of tissue natural to a part or organ rather than a true tumor. Most isolated hamartomas are benign but in cowden's disease there is a risk that one or more may undergo malignant change.4. May have recurrent genetic translocations. Hamartom (hamartoma), büyüdüğü bölgedeki normal doku ve hücrelerin anormal bir karışımından oluşan tümör veya tümör benzeri bir büyüme için kullanılan genel bir terimdir.

Multiple hamartomas throughout the body occur in cowden's disease hamar. Hamartoma is a benign (not cancer) growth made up of an abnormal mixture of cells and tissues normally found in the area of the body where the a lesion first described by german pathologist eugen albrecht in 1904, hamartomas are generally benign tumors that may occur in the lungs, skin.